آزمایش FISH برای ژن HER2:​

این آزمایش تعداد نسخه های ژن her2 در داخل مقاطع بافتی حاصل از نمونه بیوپسی یا جراحی  بیمار را مشخص می کند. معمولا دو نسخه از ژن her2 (یک کپی از سمت مادری و یک کپی از سمت پدری) در داخل سلول وجود دارد (تصویر سمت چپ به رنگ صورتی). چنانچه نسبت به یک ژن کنترل (شکل بالا به رنگ سبز) تعداد کپی ژن her2 بر اثر تغییرات کروموزمی افزایش یابد  (رنگ صورتی تصویر سمت راست) این نمونه به عنوان نمونه her2 مثبت گزارش می شود. حال پزشک شما بر اساس این آزمایش می تواند داروهایی را تجویز کند (نظیر هرسپتین) که پروتیین تولید شده توسط این ژن را که در سطح سلولهای سرطانی قرار دارند را هدف قرار داده و باعث مرگ هدفمند این سلولها شوند. چنانچه تعداد کپی های ژن و در نتیجه سطح پروتئین her2 در نمونه بیمار نرمال باشد (حدود 80% موارد)، داروهایی که HER2 را هدف قرار می دهند برای این بیمار مفید نیستند، و بنابراین به داروهای دیگری نیاز خواهد بود.

معمولا آزمایش فیش پس از آزمایش ایمونوهیستوشیمی (که روش ارزانتری است) و برای تایید افزایش نسخه های ژن her2 انجام میگیرد.

اگر سرطان پس از درمان عود کند یا به خارج از بافت پستان گسترش یابد، سطح HER2 سلولهای توموری ممکن است تغییر کند. در این شرایط معمولا آزمایش فیش تکرار می شود.

FISH FOR HER2-breastomed
her2

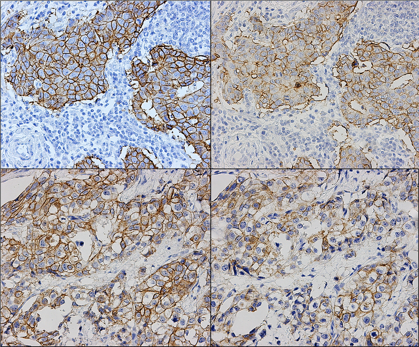
آزمایش IHC برای اندازه گیری پروتیین HER2:​

تست ایمونوهیستوشیمی (IHC) یک تست تشخیصی است برای تعیین سطح بیان پروتئین HER2 در مقاطع بافتی حاصل از بیوپسی یا جراحی بیماران سرطان پستان. در سلولهای طبیعی ژن HER2 پروتئینی را کد می‌کند که در تنظیم رشد و تقسیم سلول‌ها نقش دارد. افزایش تولید پروتیین  HER2 بر اثر جهش (افزایش تعداد کپی ژن) ، می‌تواند منجر به رشد و پراکندگی غیرقابل کنترل سلولهای پوششی بافت پستان و ایجاد توده توموری شود.

توسعه درمان‌های مبتنی بر HER2، مانند تراستوزوماب (هرسپتین) و پرتوزوماب، ارزش تشخیص دقیق وضعیت HER2 را برای تصمیم‌گیری‌های درمانی در سرطان پستان افزایش داده است. IHC از اولین و ارزانترین تستها برای ارزیابی وضعیت HER2 است.

در آزمایش IHC، نمونه بافت از تومور پستان با آنتی‌بادی‌های خاصی که به پروتئین HER2 متصل می‌شوند رنگ‌آمیزی می‌شود. شدت رنگ‌آمیزی سپس توسط یک پاتولوژیست بررسی می‌شود تا میزان بیان پروتئین HER2 ارزیابی شود. نتایج معمولاً از 0 تا 3 امتیازدهی می‌شوند، و به کمک این امتیاز، تومور به عنوان HER2 مثبت یا HER2منفی تفسیم بندی می شود.

تفسیر نتایج به دست آمده از IHC در جدول زیر خلاصه شده است.

مشاوره درمانی

 فرم زیر را پر نمایید ، در اولین فرصت با شما تماس خواهیم گرفت.

لطفا برای تکمیل این فرم، جاوا اسکریپت را در مرورگر خود فعال کنید.